高崎市歯科電話番号

審美歯科症例

メタルセラミック

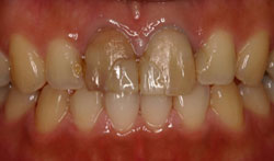
メタルセラミック術前

術前

前歯の変色、不揃いがみられる

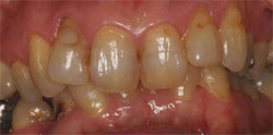
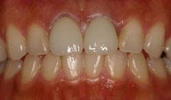
メタルセラミック術後

術後

根管治療後、メタルセラミックが装着され、綺麗になった

オールセラミック

オールセラミック術前

術前

オールセラミック術後

術後

オールセラミック術前

術前

オールセラミック術後

術後

ラミネート

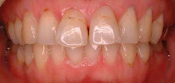
ラミネート術前

術前

前歯の変色、不揃いがみられる

ラミネート術後

術後

唇面をわずかに削って、ポーセレンラミネートが装着され、綺麗になった

ホワイトニング

ホワイトニング術前

術前

ホワイトニング術後

術後

ホワイトニング術前

術前

ホワイトニング術後

術後

ホワイトニング後セラミックを装着することは審美的改善に最も理想的です。

ホワイトニングをされた患者さんの感想

審美歯科治療を受けた患者さんの感想

みなさん満足していただいております。

口元にコンプレックスをお持ちの方、ぜひご相談ください。

copy right monya dental clinic


TOP